17 de diciembre de 2025 - Nueva York - EFE.
Las fuerzas de seguridad mantienen por cuarto día consecutivo una intensa operación de búsqueda para localizar al responsable del ataque ocurrido el pasado sábado en la Universidad Brown. El incidente resultó...
17 de diciembre de 2025 - Sanlúcar de Barrameda (España) - EFE.
La tripulación de la embarcación El Fénix ha zarpado desde Sanlúcar de Barrameda con el firme propósito de reiniciar una travesía histórica. Este viaje busca rendir homenaje a...
17 de diciembre de 2025 - Miami (EE.UU.) - EFE.
Los referentes más importantes de la bachata a nivel mundial, Romeo Santos y Prince Royce, han confirmado oficialmente el inicio de su tour denominado Mejor tarde que nunca. Esta serie de...
17 de diciembre de 2025 - Moscú - EFE.
Unidades aéreas de largo alcance pertenecientes a la Federación Rusa realizaron recientemente misiones de vigilancia sobre las zonas internacionales del mar Negro. Estas aeronaves, identificadas técnicamente como bombarderos estratégicos, sobrevolaron la región...
17 de diciembre de 2025 - Washington - EFE.
El mandatario estadounidense, Donald Trump, oficializó este lunes una medida administrativa de gran calado al otorgar al fentanilo la categoría de arma de destrucción masiva. Durante un acto público, el líder republicano...
17 de diciembre de 2025 - EE.UU - Agencias.
Para muchas familias latinas, el sueño americano se ha transformado en una experiencia traumática marcada por la separación forzada. Un caso representativo es el de Leonel Chávez, quien tras vivir años en...
17 de diciembre de 2025 - Ciudad de México - EFE.
La Secretaría de Relaciones Exteriores de México informó que los volúmenes pendientes de agua destinados a Estados Unidos, bajo el marco del Tratado de 1944, pueden cubrirse antes de octubre...
17 de diciembre de 2025 - Farandula - Agencias.
George Clooney ha declarado que ya no besará a mujeres en la pantalla tras mantener una conversación con su esposa, Amal Clooney, sobre su edad. En una entrevista reciente, el actor de...
17 de diciembre de 2025 - Farándula - Agencias.
No es nada sencillo ser verde. La interpretación de Jim Carrey como el enemigo de las festividades en la película del año dos mil El Grinch trajo consigo una fuerte dosis de...
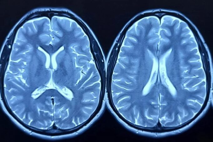
17 de diciembre de 2025 - Salud - Agencias.
La enfermedad de Alzheimer afecta a los afroamericanos en Estados Unidos aproximadamente al doble de la tasa observada en personas de ascendencia europea. Esta disparidad se vincula en parte a determinantes sociales...






































